簡易動注療法(自費診療)
簡易動注療法(自費診療)

当院では、従来の内服薬・関節注射・リハビリなどの保存療法で十分な改善が得られなかった方のために、「簡易動注療法」を導入いたしました。慢性的な手足の痛み、関節痛、腱の痛みなどに対し、根本原因にアプローチする新しい治療の選択肢をご提供します。

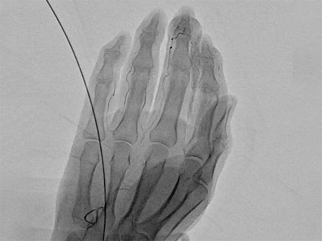
簡易動注療法とは、超音波(エコー)で血管の位置を確認しながら、手首や足首などの動脈に細い針(またはチューブ)を挿入し、薬剤を注入する治療法です。
この治療の目的は、痛みの原因と考えられる“新生血管(いわゆる「モヤモヤ血管」「異常血管」)”の血流を減らすことで、炎症を鎮め、慢性的な痛みを軽減することにあります。

以下のような、保存療法で改善が乏しかった慢性的な痛み・腱・関節の問題が主な対象です。
※ただし、すべての痛みや症状が適応となるわけではありません。まずは診察で適応を判断いたします。
1
診察・問診
痛みの状態、これまでの治療歴、生活状況を確認。必要に応じて画像(レントゲン、エコーなど)検査を行い、治療の適応を判断します。
2
治療実施
エコーで血管を確認しながら、局所麻酔を行い、手首・足首などの動脈に細い針(チューブ)を挿入。薬剤を注入します。処置はおよそ10分前後で終了。
3
止血・圧迫
注入後、圧迫止血を行い、出血・血腫・異常がないか確認後、すぐにご帰宅可能です。日帰り外来での治療です。
4
経過観察
多くの場合、数日〜数週間のうちに痛みの軽減を感じる方が多く、必要に応じて2〜3回の治療を行うことがあります。
ただし、効果には個人差があること、1回で完全に改善とは限らないこと、複数回の治療が必要になる場合があることをご理解ください。
| 部位 | 費用(税込) |
|---|---|
| 手(ヘバーデン結節・母指CM関節症など) | 片手:約27,500円 両手:約38,500円 ※片手に収まる範囲であれば複数の指でも同額 |
| 足(足底腱膜炎・外反母趾・アキレス腱炎など) | 片足:約33,000円 両足:約44,000円 |
| 肘(テニス肘・ゴルフ肘など) | 片肘:約33,000円 両肘:約44,000円 |
※この治療は自費診療(保険適用外)となります。
この治療はオクノクリニックの奥野先生によって2014年に開発されたものです。当院はオクノクリニックとライセンス契約を結び動注治療を行なっております。